Implantologie - L'art de restaurer les sourires | Agdal Dental Clinic



IMPLANTOLOGIE

L'art de restaurer les sourires
avec précision et excellence

Perdre une ou plusieurs dents ne se limite pas à un simple souci esthétique. Cela touche profondément la confiance en soi, la liberté de s'alimenter et, parfois, l'équilibre général de la santé. A Agdal Dental Clinic, chaque sourire est traité comme une œuvre unique. Forts d'une expertise internationale en implantologie et des technologies les plus avancées, nous offrons à nos patients des sourires solides, parfaitement naturels et durables.. le tout dans un confort absolu et une sécurité totale.

Nos Solutions d'Implantologie

Un éventail de solutions personnalisées pour chaque situation, chaque besoin, chaque sourire.

Implant unitaire premium

Implant Unitaire

Remplacer une dent perdue par une racine artificielle en titane, intégrée à l'os pour un résultat optimal et durabl. La solution de référence pour retrouver fonction et esthétique parfaites.

Titane Grade IV Esthétique naturelle Durée de vie 20+ ans
Bridge sur implants

Bridge sur Implants

Remplacer plusieurs dents manquantes avec stabilité et esthétisme, sans toucher aux dents voisines. Une solution conservatrice qui préserve l'intégrité de votre sourire naturel.

Préservation dentaire Stabilité maximale Confort optimal
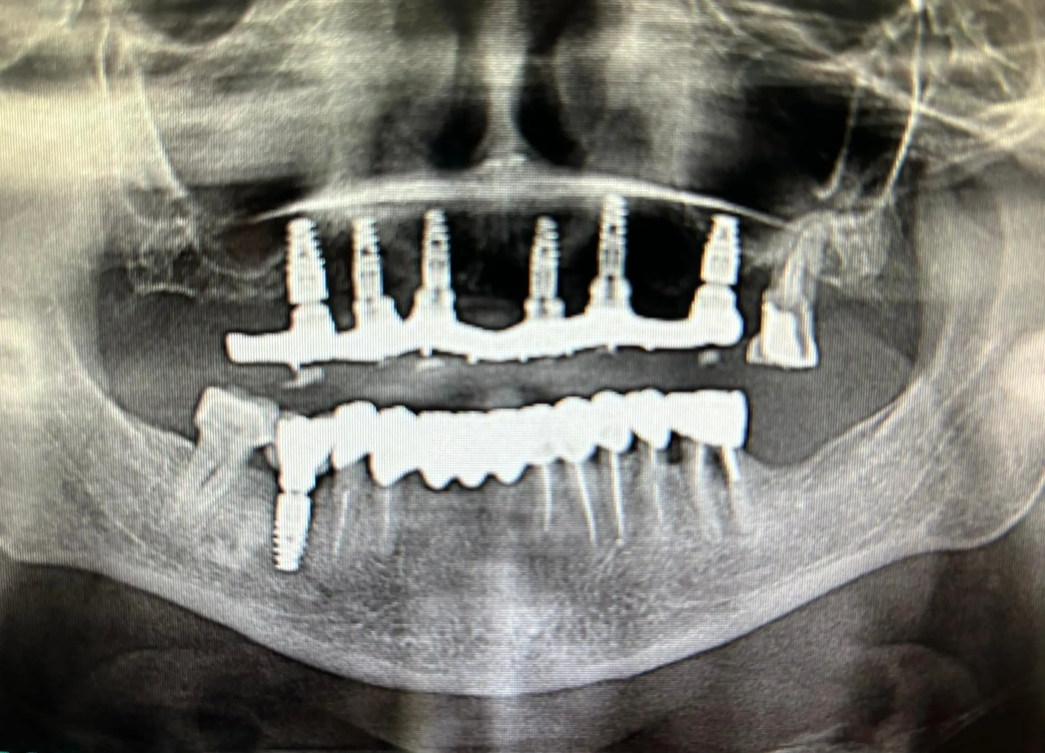
All-on-6 réhabilitation complète

All-on-6

Réhabilitation complète d'une arcade avec 6 implants stratégiquement positionnés pour une stabilité maximale et une longévité accrue, adaptée aux cas complexes et offrant un confort comparable à celui des dents naturelles.

6 implants Stabilité maximale Réhabilitation complète
All-on-8 solution ultra-robuste

All-on-8

Pour les patients nécessitant une reconstruction complète, avec 8 implants pour une distribution optimale des charges et un résultat esthétique.

8 implants Esthétique Distribution optimale des forces
Mise en charge immédiate

Mise en charge immédiate, précoce ou différée

Une mise en charge individualisée, définie selon les spécificités de votre cas.

adaptée à chaque patient Indiquation respectée
Chirurgie pré-implantaire

Chirurgie Pré-implantaire

Greffes osseuses, greffes gingivales et sinus lift pour les cas de perte osseuse sévère. Nous préparons le terrain afin de garantir le succès de vos futurs implants.

Greffe osseuse Sinus lift Greffe gingivale
Réhabilitation globale

Réhabilitations Globales

Pour les patients nécessitant une transformation complète du sourire et de la fonction. Un nouveau départ avec un sourire parfaitement harmonieux.

Transformation totale Harmonie parfaite Nouveau sourire

Prêt pour Votre Transformation ?

Découvrez nos solutions d'implantologie et laissez nos experts vous accompagner vers votre nouveau sourire.
Technologie de pointe, expertise internationale
et suivi personnalisé.

Consultation personnalisée • Devis détaillé • Plan de traitement sur mesure